OdontoCentro Botucatu

SEJA BEM-VINDO

Hora de Fazer a Limpeza nos dentes?

A limpeza dental no dentista é essencial para manter seus dentes saudáveis e seu sorriso impecável. Remova o tártaro, previna cáries e gengivites com nossa profilaxia completa.

limpeza dental botucatu

ATENÇÃO

Por Que Fazer Limpeza Dental Regularmente?

Limpeza Dental
OdontoCentro Botucatu

SOBRE

OdontoCentro – Excelência em Odontologia em Botucatu

Na OdontoCentro, cuidamos do seu sorriso de forma completa. Com uma equipe de especialistas capacitados e tecnologia de ponta, oferecemos desde consultas de rotina até tratamentos avançados. Nosso serviço de limpeza dental é realizado com precisão para garantir dentes mais saudáveis e um sorriso perfeito.

  • +9 Especialistas: Cada membro da nossa equipe é especialista em sua área, garantindo o melhor tratamento para você.
  • Tecnologia de Ponta: Scanner intraoral iTero 5D, radiografia panorâmica e raio x digital.
  • Atendimento Personalizado: Planos de tratamento feitos sob medida para você.
  • Planos Odontológicos: Avaliação personalizada e opções de pagamento.

  • Venha conhecer a OdontoCentro e descubra por que somos referência em Botucatu!

    BENEFÍCIOS

    O Que Esperar da Sua Limpeza Dental na OdontoCentro?

    Dra. Giovana Marciola

    Quem é a Dra. Giovana?

     

    Dra. Giovana, é um dos grandes talentos da odontolgia atual, formada pela UniFSP, está na equipe da clínica OdontoCentro desde 2019. Ela que vai conduzir as sessões de rasapagem, alisamento radicular, limpeza e profilaxia, para controle da Gengivite, do sangramento gengival, da gengiva inchada, e controle também da Periodontite, nos casos mais graves, onde envolve a perda óssea e oode levar até a perda dos dentes.

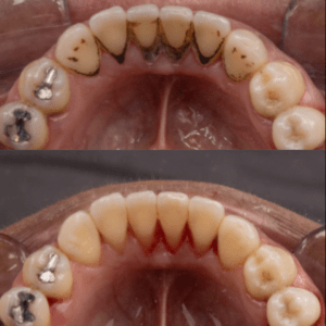
    Veja alguns antes e depois da Limpeza dos Dentes e da Raspagem:

    limpeza de dente

    CONTATO

    Não Deixe a Gengivite Comprometer Sua Saúde

    Mantenha Seu Sorriso Saudável! Agende Sua Limpeza Dental na OdontoCentro Agora Mesmo. Não deixe o tártaro e a placa comprometerem sua saúde bucal. Nossa equipe está pronta para cuidar do seu sorriso!

    Prefere falar diretamente por telefone? Ligue para nós! Telefone: (14) 9 9893-8977

    FAQ

    Dúvidas Frequentes Sobre Gengivite e Tártaro

    Recomendamos uma limpeza dental a cada 6 meses para manter seus dentes e gengivas saudáveis.

    Não trabalhamos com convênios odontológicos. Preferimos oferecer planos de tratamento personalizados com opções de parcelamento para facilitar o acesso aos cuidados de alta qualidade que você merece.

    Você pode agendar sua consulta facilmente pelo nosso WhatsApp ou telefone. Nossa equipe está à disposição para encontrar o melhor horário para você. Clique no botão de WhatsApp ou ligue diretamente para nós.

    O procedimento é indolor, e nossa equipe está sempre preocupada em garantir o máximo de conforto para nossos pacientes.

    Sim, a limpeza ajuda a remover manchas superficiais causadas por alimentos e bebidas, como café e vinho.

    Sim, é essencial manter a limpeza dental em dia mesmo durante o tratamento ortodôntico para evitar o acúmulo de placa.